CHAHOSPITAL
척추클리닉
목 디스크 탈출은 디스크의 수핵이 섬유륜을 뚫고 나와
신경을 압박하는 상태로, 통증이나 감각 이상을 유발할 수 있습니다.
목 부위에서 발생하며, 치료가 필요할 수 있습니다.
경추 추간판 탈출증은 흔히 '목 디스크'라고 불리는 것입니다.
신경이 눌리게 되고 눌리는 신경에 따라 통증, 감각 이상, 근력 마비 등의 증상이 나타나는 질환




목의 특정 부위에 통증이 느껴지거나, 어깨와 팔로 방사되는 통증이 있을 수 있음.
신경 압박으로 인해 팔, 손, 손가락에 저림이나 감각 이상이 발생할 수 있음.
목을 돌리거나 기울이는 것이 어려워질 수 있음.
경추의 문제로 인해 긴장성 두통이 발생할 수 있음.
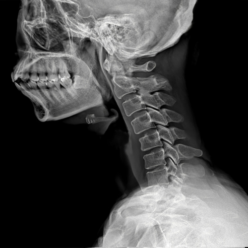
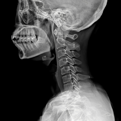
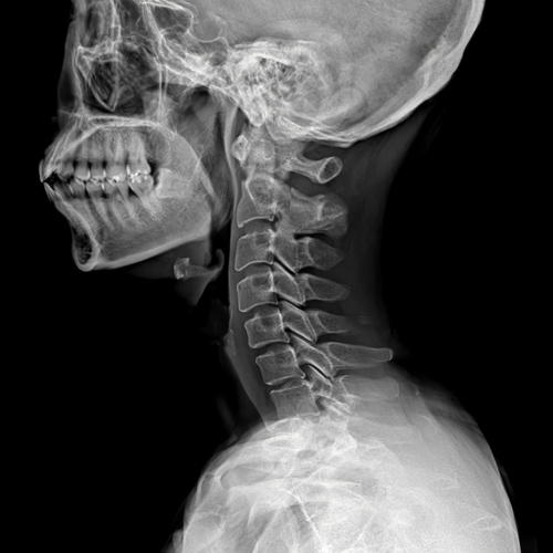
목디스크는 의사의 진찰 소견이 중요합니다.
단순 방사선 촬영은 목 디스크를 보다 강력하게 의심하는 방법은 되지만 확진은 어렵습니다.
근전도 검사가 의료 보험 적용이 되는 디스크 확진 방법이며, MRI는 영상으로 목 디스크가 뒤로 밀린 것을 확인할 수 있습니다.




염증과 통증을 완화하여 일상생활 복귀를 돕습니다. 급성 통증 조절에 도움이 되며 초기 치료로 시행됩니다.
목 주변 근육을 강화하고 척추 안정성을 높이는 치료입니다.재발 방지와 장기적인 관리에 중요한 역할을 합니다.
신경 주변 염증을 완화하는 치료로, 통증이 심한 경우 보존적 치료의 한 방법으로 고려됩니다.
보존적 치료에도 증상이 지속되는 경우
보존적 치료에도 증상이 지속되는 경우
일상생활이 어려울 정도의 통증이 지속되는 경우
신경 압박 부위를 직접 제거하여 감압을 목표로 합니다.
증상 악화를 방지하고 기능 회복을 기대할 수 있습니다.
필요한 경우 고정술을 통해 척추 안정성을 확보합니다.
목디스크는 모든 환자에게 수술이 필요한 질환은 아닙니다.
증상과 진행 정도에 맞는 적절한 치료 선택이 중요합니다.
본원은 정확한 진단을 바탕으로 환자분의 상태에 맞는 안전하고 합리적인 치료 방향을 제시하겠습니다.